Cita:
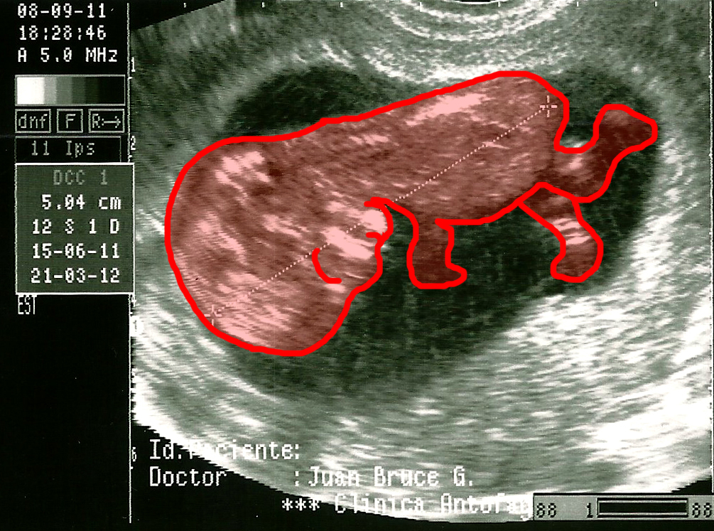
Muchas gracias chiquillos. Bueno sigo mostrando avances de mi proyecto anexo.vengo de la clínica y ya tengo la eco de las 12 semanas, todo perfecto, vi cómo se movía con sus manitos, piecesitos, ya tiene facciones, es una emoción increíble.
Anoctoda:
Estaba parado frente al doctor mientras veíamos al bebe en la pantalla de la ecografía, sabía que apretando un botón tira la imagen, es decir para mí era como apretar el botón render, entonces no podía estar tranquilo viendo que cuando estaba justo por apretar la imagen iba a salir mal, entonces le decía, a ver doctor, cuadremos un poco la imagen y enfoquemos mejor, que la que piensa imprimir está muy pixelada Vaya, mi mujer me miraba con cara de, esta si que está cagada de la cabeza.
Buenas noticias. Doctor, impleménteme las iteraciones y regule los niveles de nuevo, que nos lo juamos todo a un render, y no se va a conformar con cualquier grafía.